保険でできる白い被せ物はあるの?

こんにちは
歯科治療で「保険適用で白い被せ物ができる」と聞いた方も多くいらっしゃるのではないでしょうか。

その代表例が CAD/CAM(キャドキャム)冠 です。
銀歯より見た目が自然で、金属アレルギーの心配も少ないことから近年急速に普及していますが、実はメリットばかりではありません。 適応範囲や素材の性質を理解せずに選んでしまうと、早期破損や再治療につながるケースもあります。


この記事では、歯科医師の視点から CAD/CAM冠の特徴、メリット、そして注意すべきリスクを詳しく解説します。


CAD/CAM冠とは?

CAD/CAMとは、

を意味し、デジタル技術を用いて歯を設計・加工する方法です。

歯科医院では専用のスキャナーで歯型を読み取り、そのデータをもとに工場や院内の機械で被せ物を削り出します。 均一な品質で、短期間で作製できる点が最大の特徴 です。

CAD/CAM冠のメリット

① 白くて自然な見た目
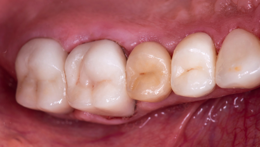
銀歯と違い、歯に近い白色のため、口を開けたときの金属のギラつきがありません。 特に前から4番目・5番目の歯では、審美的なメリットが大きく感じられます。

② 金属アレルギーのリスクが低い
主成分は樹脂を強化した“ハイブリッドレジン”という白い材料です。 金属を一切使わないため、金属アレルギーの心配がほぼありません。

③ 銀歯より二次むし歯を発見しやすい
銀歯ほどの強度(硬さ)がないため、、レントゲン上で2次虫歯の早期発見できます。 よって、むし歯の再発のリスクが低い とされています。

④ 保険適用で費用が抑えられる
セラミックのように高額な自費治療ではありません。 「白い被せ物をできるだけ安くしたい」という方には大きな魅力です。

CAD/CAM冠のデメリット(注意点)

ここからが最も重要です。 CAD/CAM冠を選ぶうえで知っておくべき “隠れたリスク” を、歯科医師の目線で詳しく解説します。

① プラスチック素材のため、耐久性が低い
CAD/CAM冠の主成分は「強化プラスチック」で、セラミックのような陶材と比べると 強度は大きく劣ります。

起こりやすいトラブル
 すり減る(咬耗)
 割れる(破折)
 欠ける(チッピング)

特に、歯ぎしりの癖がある方、食いしばりが強い方、奥歯に強い力がかかる噛み合わせの方
は、破折のリスクが高くなります。
そのため当院でも、噛み合わせを確認し適応外と判断する場合があります。

② 銀歯より外れやすいことがある
CAD/CAM冠は銀歯のように金属を変形させながらはめ込む「機械的な維持力」がありません。
接着剤の性能に依存するため、 外れやすい傾向があります。

特に、以下の場合はリスクが上がります。
 もともとの歯の形が低い・小さい
 むし歯が大きく残っている歯質が少ない
 唾液が多く、接着操作が難しい

③ 保険のルール上、2年間は作り直しができない
患者様が最も驚かれる点がここです。
CAD/CAM冠が割れた場合も、外れた場合も、2年間は保険で作り直すことができません。
(※例外はありますが、基本的には不可です。)
そのため、もし破損したら…
自費のセラミックに切り替える もしくは
診療自体は保険でも被せ物の再製のみ自費で対応 というケースも起こり得ます。

④ 時間とともに変色・艶の消失が起きる
CAD/CAM冠は最初こそ艶がありますが、プラスチック材料のため 吸水性があり、経年的に劣化しやすい という弱点があります。

起こりやすい劣化
 表面の艶が失われる
 色味がやや黄ばんでくる
 セラミックほど自然な透明感が出ない

審美性を重視したい方には、やはりセラミック治療にされたほうが良いかもしれません。


当院でのCAD/CAM冠の取り扱いについて

当院でもCAD/CAM冠による治療は行っております。
しかし、上述したように すべての患者様・すべての部位で適応できるわけではありません。

 噛み合わせの強さ
 歯の残りの量
 適応部位(前歯・奥歯の条件)
 生活習慣(歯ぎしり・食いしばり)

などを総合的に判断し、CAD/CAM冠が適切に機能すると判断できる場合にのみご提案します。

患者様にとって長期的に良い選択となるよう、素材のメリットだけでなくリスクもしっかり理解することが大切です。


医療法人社団天白会有明ガーデン歯科クリニックは、 お口の中の些細なトラブルやお悩み事、検診など、お気軽にご相談できる歯科医院です。 どんなことでも、どうぞお気軽にご相談ください。 土日祝も20時まで診療しており、駐車場も完備しています。 あなたの歯の健康をサポートいたします!

このブログの監修者

医療法人社団天白会
有明ガーデン歯科クリニック
院長 荻野佑太

理事長 歯学博士 山田健太郎 日本口腔インプラント学会 専門医